Информацията В Сайта Не Е Медицински Съвет. Ние Не Продаваме Нищо. Точността На Превода Не Е Гарантирана. Отказ От Отговорност



Устно здраве: Условия, които карат зъбите ви да болят

Вие се справяте, като се стискате

Clenching your jaw takes a toll on your teeth over time.

Стискате ли челюстта си във времена на напрежение на гняв или интензивна концентрация? Зъбите ви носят част от тежестта на този стрес. Те могат да болят или да се клатят във времето.

Ежедневното ти смилане

Понякога дори когато не се чувствате стресирани, може да се стискате и смилате зъбите си, докато спите. Това може да се случи, когато имате нарушение на съня, ухапването ви не се подрежда правилно или ви липсват зъби. Попитайте вашия зъболекар дали нощният пазач може да ви помогне да предотвратите щети, докато мечтаете.



Преказвате устните изплаквания

Развълнуването с вода за уста няколко пъти на ден може да ви даде дълбоко чисто. Но може да дойде с недостатък: чувствителни зъби. Някои изплаквания имат киселини, които могат да повредят вашия дентин средния слой на зъбите ви.



Натискате тялото си

Проучванията върху триатлонистите показват, че тренировките за издръжливост могат да износят повече зъбния ви емайл. Колкото по -интензивен графикът на тренировката им, толкова по -голяма е вероятността да имат кухини. Учените не са точно сигурни защо, но могат да смятат, че това е свързано с това как упражненията променят количеството слюнка в устата ви.

е атенолол блокер на калциев канал

Вашите синуси са пълнени

Болката в горните ви задни зъби може да е знак за инфекция на синус. Доста често е често, тъй като зъбите ви са близки съседи на носните ви проходи.



Имате кифличка във фурната

Бременността може да ви накара да видите повече розово в мивката или кръвта, когато четкате. По -вероятно е да се справите с гингивит, когато имате бебе по пътя. Освен това имате по -голям шанс за кухини, така че насрочете някои допълнителни прегледи с вашия зъболекар, докато чакате деня на доставката.

Челюстта ти е задръстена

Вашата темпоромандибуларна става (TMJ) свързва долната ви челюст с черепа ви. Когато някоя част от вашия TMJ не работи поради артрит на нараняване или нещо друго, това може да причини цял куп симптоми, включително болка, когато дъвчете и в челюстта си.

Увреждане на нервите

Не е често, но състояние, наречено тригеминална невралгия, може да бъде в основата на проблема с вашия зъб. Той причинява хронична болка в нервите в един от нервите в главата ви. Болката често се причинява чрез миене на зъбите ядене и пиене.

Сърдечни проблеми

Болката в горната част на тялото може да бъде симптом на сърдечен удар. Може да почувствате дискомфорта в челюстта или зъбите на раменете. Обърнете внимание, ако се занимавате с други неща, заедно с устата си като изпотяване на сърцебиене на сърце гадене в гърдите или задух.

Озарихте усмивката си

Справяне с мръсни зъби чрез избелване? Вашата беличка може да е виновна за пулсиращи зъби. Чувствителността може да започне 2-3 дни в лечението, но може да изчезне след още няколко. Вашите венци могат да се чувстват раздразнени, докато вие също избелвате.

какво да правим в тайван

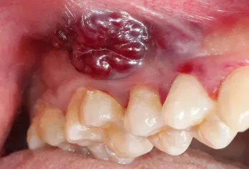
Вашите венци започват да дават

Когато венците отстъпят, те отдръпват защитния слой върху нервите на зъбите и ги оставят болни. Това може да е признак на заболяване на венците, така че бъдете сигурни, че вашият зъболекар знае дали болката ви идва със зъби, които изглеждат по -дълго или ако имате гнойни язви на устата лош дъх или кървене, когато миете.

Имате нужда от проверка на рака

Ракът на устната кухина обикновено се показва с болка в устата или зъбите, които не отминават. Тригеминалната невралгия може да идва и от тумор, притискащ нервите на лицето ви, но е рядко.

Диетата ви е твърде кисела

Храните с високо съдържание на киселина износват емайла и оставят зъбите по -малко защитени. Най -добрите виновници включват кафе с твърда захар, цитрусови плодове - като портокали от лимони и грейпфрути - и сода.

Болка на ръката след грип 2017

Ти хвърляш много

Говорейки за киселина, стомахът ви е пълен с него. Когато повръщате, което може да се качи на зъбите ви. Ако много повръщате, това може да започне да ги повреди. ГЕРБ (гастроезофагеална рефлукс) Бременност Хроничен алкохолизъм и булимия са състояния, които могат да доведат до проблеми със зъбите от изхвърлянето на твърде много.

Не пиете достатъчно вода

Водата не само измива парчетата и парчетата храна, оставени след това, след като ядете в зависимост от това къде получавате водата си, но и може да бъде пълен с флуор, който поддържа зъбите здрави и здрави. Ако не пиете достатъчно вода, зъбите ви могат да изпаднат в затруднение.

Устно здраве: Условия, които карат зъбите ви да болят

Източници:

Изображения, предоставени от:

  1. Цифрово зрение / ThinkStock
  2. Demaerre / Thinkstock
  3. Кристофър Робинс / Thinkstock
  4. Sportpoint / Thinkstock
  5. Kieferpix / Thinkstock
  6. изображения на Sdominick / Getty
  7. Медицински медии / медицински изображения на Nucleus
  8. Клаус Лунау / Източник на науката
  9. Lars Neumann / Thinkstock
  10. Jose Luis Pelaez Inc. / Getty Images
  11. ISM / DR JEAN-PIERRE Casteyde / Medical Images
  12. Watanyou / getty изображения
  13. Stockbyte / Thinkstock
  14. Sankalpmaya / Thinkstock
  15. Shaun Wang / Eyeem / Getty Images

Референции:

  • Клиника Майо: „Бруксизъм (смилане на зъби)“ „Синусова инфекция и зъбобол: някаква връзка?“ ТМВ нарушения Симптоми на сърдечен удар: Знайте какво е спешна медицинска помощ.
  • Американска стоматологична асоциация: „Смилане на зъбите“ „Безопасно ли е да отидете на зъболекаря по време на бременност?“ „Избелване“ на „Топ 9 храни, които увреждат зъбите ви“ „Зъбната ерозия“ 4 причини водата е най -добрата напитка за зъбите ви. “
  • Клиника Кливланд: „Чувствителност на зъбите: възможни причини“.
  • Скандинавски журнал по медицина
  • Национален институт за неврологични разстройства и инсулт: „Тригеминалният лист за факти за невралгия“.
  • Американска академия по пародонтология: „Симптоми на заболяване на венците“.
  • Американско дружество за борба с рака: „Признаци и симптоми на устна кухина и рак на орофарингеал“.

Този инструмент не предоставя медицински съвети. Вижте допълнителна информация:

Този инструмент не предоставя медицински съвети. Той е предназначен само за общи информационни цели и не се занимава с индивидуални обстоятелства. Това не е заместител на диагностика или лечение на професионални медицински съвети и не трябва да се разчита, за да вземате решения за вашето здраве. Никога не пренебрегвайте професионалните медицински съвети при търсенето на лечение поради нещо, което сте прочели на сайта RXList. Ако смятате, че може да имате спешна медицинска помощ незабавно се обадете на Вашия лекар или наберете 911.

Муцинекс DM странични ефекти кръвно налягане

© 1996-2025 WebMD LLC . Всички права запазени.
Източник слайдшоу на WebMD